-
Professor Richard Bowtell (Credit: University of Nottingham) -
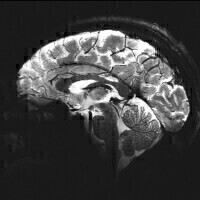
One of the first 11.7T images of the human brain recently acquired on a similar scanner at Neurospin in Paris. It has an in-plane resolution of just 200 microns. (Credit: University of Nottingham)
News
Green Light for UK’s most powerful MRI Scanner
May 24 2024
The University of Nottingham, which is leading on development of the UK’s most powerful magnetic resonance imaging (MRI) scanner, has announced the selection of Tesla Engineering and Philips UK and Ireland during the design and build stages of the project. The bespoke ultra-high field MRI scanner will be housed at the UKRI-funded national scanning facility at the University’s Sir Peter Mansfield Imaging Centre.
Tesla Engineering will build an 11.7 magnet and gradient coils with an inner bore that is large enough to allow imaging of the human body. The Earth’s field is around fifty millionths of a Tesla and current clinical scanners operate at fields of 1.5 or 3T: to reach a field of 11.7T, the company will use new technology that maintains the magnet wiring at a temperature of -271 degrees celsius, just 2.5 degrees above absolute zero. This low temperature allows large enough currents to be passed through the wires in the magnet to produce a field that is more than 200,000 times larger than the earth’s field.
Philips will develop the advanced scanner hardware that will excite and measure the 500 MHz magnetic resonance signals that hydrogen nuclei produce at 11.7T. The scanner hardware will exploit new advances in machine learning to optimally produce detailed images from these signals.
Set to underpin a broad range of clinical and neuroscience-focused research programmes in the UK, the scanner will be more than 1000 times more powerful than those first developed by the late Sir Peter Mansfield and will help transform understanding of neurodegenerative diseases such as Alzheimer’s, Parkinson’s and Huntington’s and neurodevelopmental disorders including autism and schizophrenia.
Ultra-high field MRI offers huge benefits in terms of improved sensitivity which will enable higher spatial resolution imaging, faster imaging, and greater sensitivity to physiological changes. The scanner will also provide a step change in the capabilities of magnetic resonance spectroscopy (MRS) to provide information about the biochemistry of the human body.
“We are delighted to be working with Philips and Tesla Engineering to develop the new ultra-high field MRI scanner,” said Professor Richard Bowtell, Head of the Sir Peter Mansfield Imaging Centre. “We have successfully worked with both companies before and are confident they have the technical expertise and knowledge to deliver this powerful and complex machine. The 11.7T scanner will be a huge step forward in technology and we are very proud that this remarkable scanner will be housed in the Sir Peter Mansfield Imaging Centre, on the campus where Sir Peter’ breakthrough in developing MRI was made.”
More information online
Digital Edition
Lab Asia Dec 2025
December 2025
Chromatography Articles- Cutting-edge sample preparation tools help laboratories to stay ahead of the curveMass Spectrometry & Spectroscopy Articles- Unlocking the complexity of metabolomics: Pushi...
View all digital editions
Events
Jan 21 2026 Tokyo, Japan
Jan 28 2026 Tokyo, Japan
Jan 29 2026 New Delhi, India
Feb 07 2026 Boston, MA, USA
Asia Pharma Expo/Asia Lab Expo
Feb 12 2026 Dhaka, Bangladesh



