News
Partnership Aims to Develop Protein Inhibitor
Mar 06 2016
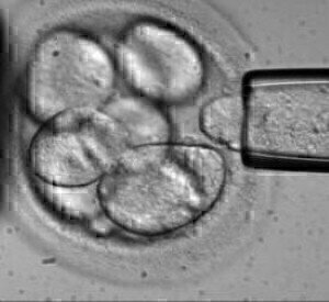
Funding awarded to the Avacta Group will be used to develop its Affimer® reagents in partnership with the Mary Lyon Centre at MRC Harwell. The initiative offers potential to increase overall efficiency of breeding programmes, while providing a significant commercial opportunity for the Company.
MC3Rs, a UK-based scientific organisation dedicated to replacing, refining and reducing the use of animals in life sciences, has provided a CRACK IT Solutions Technology grant for the project, which aims to develop inhibitors of a protein called inhibin. Reducing the action of this protein would stimulate production of a greater number of embryos per mouse, (superovulation); this could reduce the number of mice needed for embryo production by 100,000 animals a year in the UK alone.
Dr Alastair Smith, Avacta Group Chief Executive Officer, commented: “We are grateful to NC3Rs for providing the funding that will allow us to develop Affimer inhibitors of inhibin, which we will provide to MRC Harwell for evaluation. If successful then there is a potentially very large global market for such Affimer reagents that will reduce the costs of production and the number of mice used each year in breeding programmes. We are delighted to be working with MRC Harwell on this project which could also open the way to applications in human IVF treatments.”
The Mary Lyon Centre at MRC Harwell, a world-leading centre for functional mouse genomics providing expertise, tools and facilities to generate mouse models of human disease, will evaluate the ability of the Affimer reagents to induce superovulation in mice.
Digital Edition
Lab Asia Dec 2025
December 2025
Chromatography Articles- Cutting-edge sample preparation tools help laboratories to stay ahead of the curveMass Spectrometry & Spectroscopy Articles- Unlocking the complexity of metabolomics: Pushi...
View all digital editions
Events
Jan 21 2026 Tokyo, Japan
Jan 28 2026 Tokyo, Japan
Jan 29 2026 New Delhi, India
Feb 07 2026 Boston, MA, USA
Asia Pharma Expo/Asia Lab Expo
Feb 12 2026 Dhaka, Bangladesh



