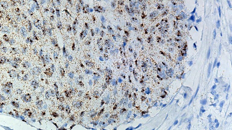
Advanced Cell Diagnostics, a leader in the field of in situ nucleic acid detection for life science research and clinical diagnostics, has been granted ISO 13485:2003 certification for medical devices paving the way for the company to launch its CE marked diagnostic tests in Europe. The certification covers the design, development, production, and commercialisation of ACD’s proprietary RNAscope® product lines.

Said to address a long-standing technological gap in the analysis of RNA, the instrument has seen rapid adoption by both academic and industrial researchers since the beginning of its full commercialisation in 2011.

"ACD's vision is to make RNAscope the PCR equivalent for in situ nucleic acid detection and drive adoption of this technology in diagnostic tests," said Dr. Yuling Luo, President and CEO of ACD. "This ISO certification is the first step in our quality systems road map, which is designed to ensure that we supply products of the highest quality to our customers and provide a seamless path for our partners to translate scientific advances to patient benefits."

RNAscope detects and localise single RNA molecules in individual cells in intact tissues, enabling simultaneous molecular and histopathological analysis, the company said.

Lab Asia Dec 2025

Explore our Digital Edition

Discover the latest news and research

Digital edition

Explore Our Other Sites

Envirotech Online
Significant “blind spot” in wastewater-based surveillance
Explore more
Pollution Solutions Online
Call from the Caribbean for Landia mixers to solve rectangular tank mixing challenge
Explore more
Petro Online
Discover a world of industrial solutions
Explore more
Chromatography Today
HPLC Column Performance at Half Price
Explore more