-
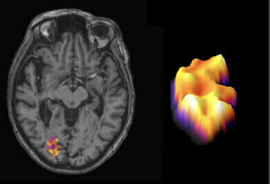
The image shows an MS lesion in the brain, marked in colour. On the right is a close-up image of this broad-rim lesion. Credit: University of Turku -
Professor Laura Airas. Credit: University of Turku
Research news
New biomarker offers hope for predicting multiple sclerosis progression
Jun 25 2025
Researchers at the University of Turku, Finland, have identified a promising new biomarker that could help predict how multiple sclerosis (MS) will develop in individual patients.
The study [1], led by Professor Laura Airas in collaboration with German and Dutch partners, found that the thickness of the inflammatory cell rim surrounding brain lesions strongly correlates with the severity and pace of MS progression. Their findings were published in Nature Medicine.
Using PET imaging data from 114 Finnish MS patients alongside detailed post-mortem brain tissue analysis from Dutch patients, the team discovered that wider inflammatory rims around lesions are linked to more aggressive disease advancement.
Professor Airas explained: “When microglial cells create a thick rim around MS lesions, their damaging activity extends deeper into healthy brain tissue, causing irreversible harm.”
This breakthrough not only enables earlier identification of patients who may benefit from more intensive treatment but also provides a new way to monitor the effectiveness of emerging drugs by tracking changes in lesion rims.
The research holds particular promise for improving therapies for progressive MS, a form of the disease that currently lacks effective treatment options.
More information online
1. Broad rim lesions are a new pathological and imaging biomarker for rapid disease progression in multiple sclerosis published in Nature Medicine
Digital Edition
Lab Asia Dec 2025
December 2025
Chromatography Articles- Cutting-edge sample preparation tools help laboratories to stay ahead of the curveMass Spectrometry & Spectroscopy Articles- Unlocking the complexity of metabolomics: Pushi...
View all digital editions
Events
Jan 21 2026 Tokyo, Japan
Jan 28 2026 Tokyo, Japan
Jan 29 2026 New Delhi, India
Feb 07 2026 Boston, MA, USA
Asia Pharma Expo/Asia Lab Expo
Feb 12 2026 Dhaka, Bangladesh



