Laboratory products
Genuine 3D Cell Culture Technology
Oct 18 2011
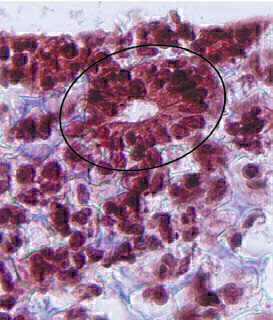
Amsbio has announced the launch of alvetex® - a unique cell culture scaffold that, for the first time, enables genuine 3D cell culture to be grown routinely and costeffectively. Already successfully applied to numerous applications including drug toxicity models with liver cells, skin raft assays and bone remodelling studies - alvetex® provides a stable and inert scaffold for cells to grow, mimicking in vivo growth and formation of tissues in the body. alvetex® has a highly porous architecture that is specifically tailored for 3D cell culture and designed to be compatible with existing cell culture techniques and post cell culture analysis. Extensively tested and validated with a large number of cell types, alvetex® from Amsbio enables the formation of complex 3D cellular structures, increases viability, decreases cell death and enhances cell function.
Available in different formats for short and long term cell culturing, alvetex® offers exceptional flexibility. Using this unique material - cells can be visualised by confocal or live cell imaging or treated like tissue, it’s easy to process for histological staining, immunocytochemistry and electron microscopy. Viable cells can also be isolated by alvetex® for passaging or flow cytometry. With data on alvetex® already published extensively in peer-reviewed journals, this unique 3D scaffold offers the potential to revolutionise basic cellular research, disease modeling, drug toxicity screening and cosmetic safety testing.
Digital Edition
Lab Asia Dec 2025
December 2025
Chromatography Articles- Cutting-edge sample preparation tools help laboratories to stay ahead of the curveMass Spectrometry & Spectroscopy Articles- Unlocking the complexity of metabolomics: Pushi...
View all digital editions
Events
Jan 21 2026 Tokyo, Japan
Jan 28 2026 Tokyo, Japan
Jan 29 2026 New Delhi, India
Feb 07 2026 Boston, MA, USA
Asia Pharma Expo/Asia Lab Expo
Feb 12 2026 Dhaka, Bangladesh



